Niềng răng hô dùng mắc cài kim loại, nhổ 4 răng kéo lùi răng cửa
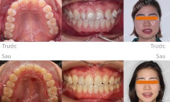
Hình ảnh trước khi niềng răng tại trung tâm niềng răng chuyên sâu Thạc sĩ Bác sĩ nội trú Việt Anh: khách hàng có tình trạng hô hàm, góc nghiêng môi nhô hẳn ra trước, răng cửa chìa Phương án niềng răng mắc cài kim loại: nhổ 4 răng số 4, hàm trên cắm 2…
