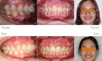
Niềng răng hô, lộn xộn, khớp cắn sâu bằng mắc cài kim loại tự buộc, nhổ 3 răng
Hình ảnh trước khi niềng răng tại trung tâm niềng răng chuyên sâu Thạc sĩ Bác sĩ nội trú Việt Anh: răng cửa hàm dưới lộn xộn nặng, hàm dưới mất 1 răng, hàm trên chìa, khớp cắn sâu, góc nghiêng hô nhiều Phương án niềng răng mắc cài kim loại tự đóng: nhổ thêm…
