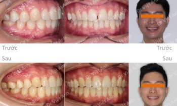
Niềng răng hô bằng mắc cài kim loại tự buộc cho một khách hàng niềng dở nơi khác
Tình trạng trước khi niềng răng tại trung tâm niềng răng chuyên sâu thạc sĩ bác sĩ nội trú Việt Anh: bị hô đã nhổ 4 răng số 4 và niềng dở nơi khác nhưng vì chuyển nơi sống nên không hoàn thành được Phương án niềng răng mắc cài kim loại: kéo đóng khoảng…
