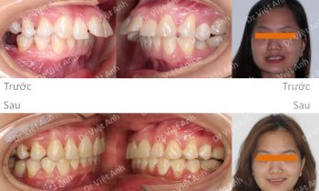
Chỉnh nha khểnh, hô hoàn thành sau hơn 1,5 năm bằng mắc cài pha lê
Chỉnh nha khểnh, hô hoàn thành sau hơn 1,5 năm bằng mắc cài pha lê Một bạn nữ 21 tuổi tới thăm khám tại trung tâm Chỉnh nha chuyên sâu thạc sĩ bác sĩ nội trú Việt Anh để khắc phục tình trạng răng khểnh 2 bên, răng cửa chìa và môi nhô, khó ngậm…
