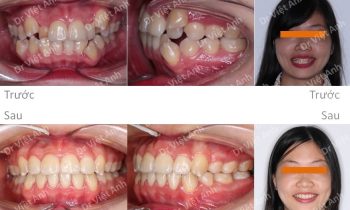
Niềng răng lộn xộn bằng phương pháp di xa hai hàm và mài kẽ, không nhổ răng 4
Tình trạng trước khi niềng răng tại trung tâm niềng răng chuyên sâu thạc sĩ bác sĩ nội trú Việt Anh: răng khấp khểnh lộn xộn cả hai hàm, đường giữa răng hai hàm lệch nhau, răng hơi chìa Phương án niềng răng mắc cài pha lê: vì khách hàng không muốn nhổ răng 4…
