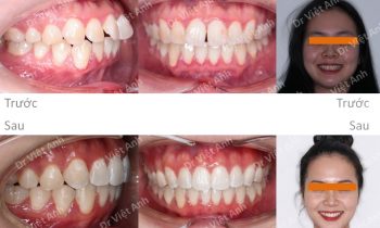
Niềng răng mặt trong chữa hô cho khách hàng 35 tuổi thay đổi rõ rệt sau 2 năm
Tình trạng trước khi niềng răng tại trung tâm niềng răng chuyên sâu thạc sĩ bác sĩ nội trú Việt Anh: răng cửa hàm trên chìa nhiều, cười hở lợi, góc nghiêng môi bị vẩu khá nhiều Phương án niềng răng mặt trong: nhổ 4 răng số 4, hàm trên cắm 2 vis để kéo…
