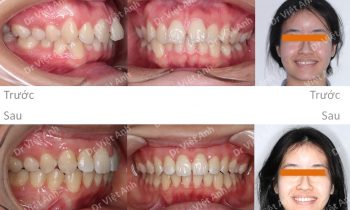
Niềng răng mắc cài pha lê khắc phục lệch đường giữa hàm trên cho khách hàng thiếu răng cửa
Tình trạng trước khi niềng răng tại trung tâm niềng răng chuyên sâu thạc sĩ bác sĩ nội trú Việt Anh: khách hàng bị thiếu răng cửa giữa hàm trên bên trái, nên đường giữa hàm trên lệch hẳn sang trái, hàm dưới mất răng hàm số 6 bên trái Phương án niềng răng mắc…
