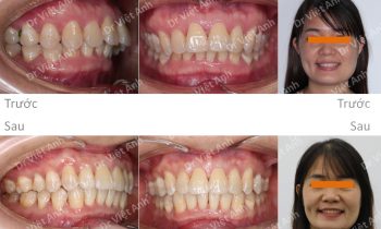
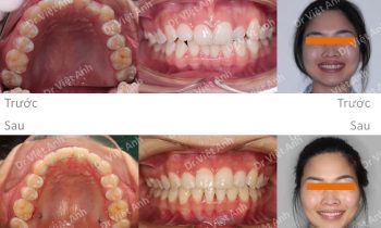
Niềng răng lộn xộn, không nhổ răng áp dụng phương pháp di xa toàn hàm dùng mắc cài mặt lưỡi hàm trên
Hình ảnh trước khi niềng răng tại trung tâm niềng răng chuyên sâu Thạc sĩ Bác sĩ nội trú Việt Anh: răng lộn xộn cả hai hàm, nụ cười mất thẩm mỹ Phương án niềng răng mắc cài mặt trong: khách hàng không muốn nhổ răng số 4, tiến hành mài kẽ răng và kéo…
