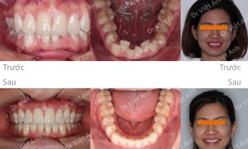
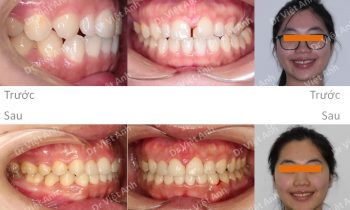
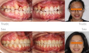
Niềng răng thưa, khớp cắn sâu bằng mắc cài pha lê, giảm luôn hô
Hình ảnh trước khi niềng răng tại trung tâm niềng răng chuyên sâu Thạc sĩ Bác sĩ nội trú Việt Anh: răng cửa hàm trên bị thưa, khớp cắn sâu, góc nghiêng hô cằm lẹm Phương án niềng răng mắc cài pha lê: đây là một trường hợp chỉ định rõ ràng nhổ 4 răng…
