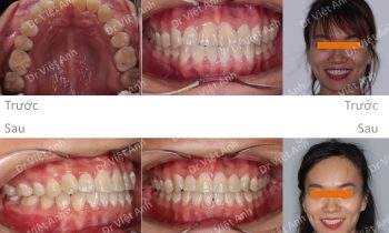
Niềng răng hô không nhổ răng, sử dụng phương pháp nong hàm và di xa toàn hàm
Tình trạng trước khi niềng răng tại trung tâm niềng răng chuyên sâu thạc sĩ bác sĩ nội trú Việt Anh: khách hàng thấy bị hô, răng hàm trên chìa ra ngoài, môi nhô Phương án niềng răng mắc cài kim loại tự buộc: khách hàng không muốn nhổ răng số 4, phương án đưa…
