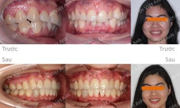
Niềng răng lộn xộn, lệch đường giữa hàm trên, đóng kín khe thưa hàm do mất 1 răng cửa dùng mắc cài mặt lưỡi
Hình ảnh trước khi niềng răng tại trung tâm niềng răng chuyên sâu Thạc sĩ Bác sĩ nội trú Việt Anh: khách hàng mất 1 răng cửa bên trái, nên khi cười thấy rất lệch, răng lộn xộn, có khe thưa, góc nghiêng hơi móm Phương án niềng răng mắc cài mặt trong: kéo lùi…
