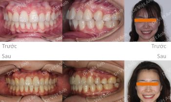
Niềng răng hô, lộn xộn bằng mắc cài kim loại cho trường hợp thiếu răng nanh hàm trên bên phải
Hình ảnh trước khi niềng răng tại trung tâm niềng răng chuyên sâu Thạc sĩ Bác sĩ nội trú Việt Anh: răng lộn xộn hai hàm, răng cửa chìa, góc nghiêng môi nhô, bị thiếu răng nanh (số 3) hàm trên bên phải nên đường giữa răng hàm trên lệch sang phải Phương án niềng…
