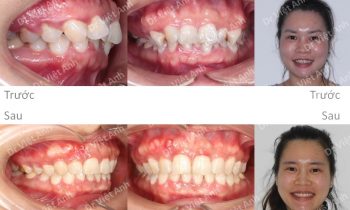
Niềng răng hô cho khách hàng mất 3 răng hàm ở hàm dưới, nhổ 2 răng số 4 hàm trên
Hình ảnh trước khi niềng răng tại trung tâm niềng răng chuyên sâu Thạc sĩ Bác sĩ nội trú Việt Anh: khách hàng có tình trạng hô, răng cửa chìa, môi dày và nhô, mất 3 răng hàm ở hàm dưới Phương án niềng răng mắc cài kim loại: nhổ 2 răng số 4 hàm…
