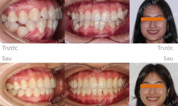
Niềng răng khắc phục cung răng vuông, khớp cắn đối đầu, lộn xộn nặng hàm dưới không cần nhổ răng
Hình ảnh trước khi niềng răng tại trung tâm niềng răng chuyên sâu Thạc sĩ Bác sĩ nội trú Việt Anh: cung răng hàm trên vuông, phần răng cửa không có độ cong, hàm dưới lộn xộn nặng, khớp cắn đối đầu Phương án niềng răng mắc cài mặt trong: khách hàng đã tư vấn…
