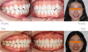
Tạo hình lại chiếc cằm lẹm sau khi niềng răng hô bằng mắc cài kim loại Hàn Quốc
Hình ảnh trước khi niềng răng tại trung tâm niềng răng chuyên sâu Thạc sĩ Bác sĩ nội trú Việt Anh: góc nghiêng bị hô, cằm lẹm nhiều, không có rãnh môi cằm, răng hàm trên chìa ra trước, răng hàm dưới lộn xộn. Khớp cắn sâu Phương án niềng răng mắc cài kim…
