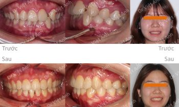
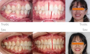
Niềng răng lộn xộn, lệch đường giữa răng hai hàm bằng mắc cài mặt lưỡi, không nhổ răng
Hình ảnh trước khi niềng răng tại trung tâm niềng răng chuyên sâu Thạc sĩ Bác sĩ nội trú Việt Anh: răng lộn xộn cả hai hàm, góc nghiêng không hô, đường giữa răng hàm trên và răng hàm dưới lệch nhau nhiều, hẳn 1 chiếc răng Phương án niềng răng mắc cài mặt trong:…
