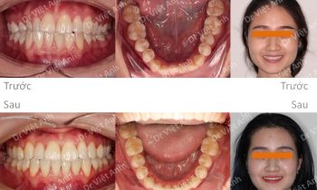
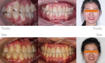
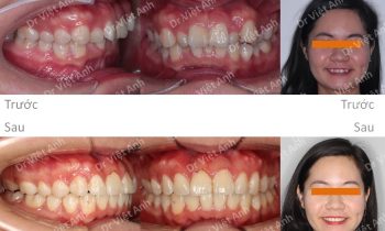
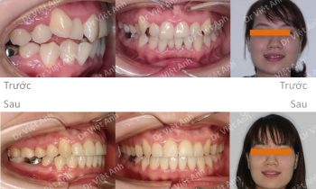
Niềng răng mặt trong điều trị thành công một ca răng khấp khểnh, hô, nhổ 4 răng không dùng vít
Hình ảnh trước khi niềng răng tại trung tâm niềng răng chuyên sâu Thạc sĩ Bác sĩ nội trú Việt Anh: răng lộn xộn cả hai hàm, răng cửa tụt vào bên trong, góc nghiêng thấy môi hơi nhô Phương án niềng răng mắc cài mặt trong: nhổ 4 răng để tạo chỗ trống sắp…
