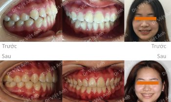
Niềng răng khắc phục khớp cắn hở cho một trường hợp hô hàm nặng, thiếu răng cửa hàm dưới
Hình ảnh trước khi niềng răng tại trung tâm niềng răng chuyên sâu Thạc sĩ Bác sĩ nội trú Việt Anh: khớp cắn hở nặng, răng cửa không cắn được thức ăn, hàm dưới thiếu 1 răng cửa, hô hàm nặng, cằm lẹm Phương án niềng răng mắc cài kim loại: vì tình trạng hô…
