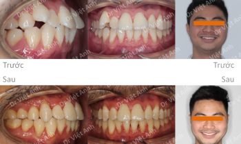
Niềng răng mặt trong sửa lại một ca niềng mặt trong nơi khác bị hỏng, cười méo do nghiêng mặt phẳng cắn
Hình ảnh trước khi niềng răng tại trung tâm niềng răng chuyên sâu Thạc sĩ Bác sĩ nội trú Việt Anh: đã niềng mặt trong hai hàm ở một nha khoa khác nhưng răng vẫn lộn xộn, hàm trên đã đổi ra niềng mặt ngoài. Hàm trên bị nghiêng mặt phẳng cắn, cười bị méo….
