Trường hợp góc nghiêng bị hô được khắc phục bằng mắc cài mặt trong thường, nhổ 4 răng
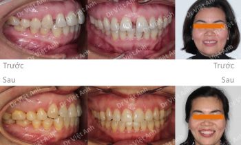
Hình ảnh trước khi niềng răng tại trung tâm niềng răng chuyên sâu Thạc sĩ Bác sĩ nội trú Việt Anh: góc nghiêng hô, môi nhô ra, cằm lẹm Phương án niềng răng mắc cài mặt trong: nhổ 4 răng số 4, hàm trên cắm 2 vis để kéo tối đa Kết quả niềng răng…
