Niềng răng mắc cài mặt lưỡi cải thiện một ca hô hàm, nhổ 4 răng
Hình ảnh trước khi niềng răng tại trung tâm niềng răng chuyên sâu Thạc sĩ Bác sĩ nội trú Việt Anh: hô hàm khá nặng, môi nhọn, vẩu nhiều, hàm dưới đưa ra trước Phương án niềng răng mắc cài mặt trong: nhổ 4 răng số 4 kéo lùi răng cửa hai hàm. Vì tình…
Niềng răng mắc cài mặt lưỡi khắc phục hô cho khách hàng đã bọc sứ 2 răng cửa, có nhổ răng
Hình ảnh trước khi niềng răng tại trung tâm niềng răng chuyên sâu Thạc sĩ Bác sĩ nội trú Việt Anh: khách hàng cảm thấy bị hô, môi nhọn, cằm hơi lẹm, răng chìa, đã bọc sứ 2 răng cửa. Hàm dưới lệch nhiều sang trái. Khớp cắn sâu. Phương án niềng răng mắc cài…
Ca khớp cắn ngược, răng lộn xộn, môi dưới trề được khắc phục bằng mắc cài mặt lưỡi, không nhổ răng
Hình ảnh trước khi niềng răng tại trung tâm niềng răng chuyên sâu Thạc sĩ Bác sĩ nội trú Việt Anh: răng cửa hàm trên lộn xộn, khớp cắn ngược, tương quan khớp cắn hạng III, góc nghiêng hơi móm do môi dưới trề ra Phương án niềng răng mắc cài mặt trong: không nhổ…
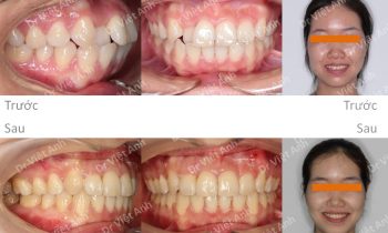
Trường hợp hô, răng lộn xộn được niềng răng mặt trong thành công, có nhổ 4 răng và cắm vis hàm trên
Hình ảnh trước khi niềng răng tại trung tâm niềng răng chuyên sâu Thạc sĩ Bác sĩ nội trú Việt Anh: khách hàng có tình trạng răng lộn xộn, răng cửa chìa, góc nghiêng thấy môi nhô, cằm lẹm Phương án niềng răng mắc cài mặt trong: nhổ 4 răng để kéo lùi răng cửa…
Niềng răng mắc cài mặt lưỡi hàm trên, pha lê hàm dưới khắc phục răng lộn xộn, răng chìa bằng phương pháp mài kẽ và di xa không nhổ răng
Hình ảnh trước khi niềng răng tại trung tâm niềng răng chuyên sâu Thạc sĩ Bác sĩ nội trú Việt Anh: răng lộn xộn, 1 chiếc răng cửa hàm trên tụt hẳn bên trong, răng cửa hơi chìa Phương án niềng răng mắc cài mặt trong: khách hàng không muốn nhổ răng số 4, không…
Răng đỡ chìa dù không cần nhổ răng sau khi niềng răng mắc cài kim loại tự buộc áp dụng phương pháp mài kẽ và di xa toàn hàm
Hình ảnh trước khi niềng răng tại trung tâm niềng răng chuyên sâu Thạc sĩ Bác sĩ nội trú Việt Anh: răng cửa hàm trên chìa, khớp cắn sâu, đường giữa 2 hàm lệch nhau, góc nghiêng chỉ hơi hô Phương án niềng răng mắc cài kim loại: vì góc nghiêng không hô nhiều, nếu…
Niềng răng mặt trong khắc phục trường hợp răng khấp khểnh nặng, lệch nhân trung, không cần nhổ răng
Hình ảnh trước khi niềng răng tại trung tâm niềng răng chuyên sâu Thạc sĩ Bác sĩ nội trú Việt Anh: răng khấp khểnh nhiều, 1 chiếc răng cửa hàm trên lệch hẳn bên trong, đường giữa hàm trên lệch sang phải Phương án niềng răng mắc cài mặt trong: khách hàng có xu hướng…
Niềng răng khấp khểnh, răng chìa dùng phương pháp mài kẽ và kéo lùi toàn bộ 2 hàm, không cần nhổ răng với mắc cài mặt lưỡi
Hình ảnh trước khi niềng răng tại trung tâm niềng răng chuyên sâu Thạc sĩ Bác sĩ nội trú Việt Anh: răng khấp khểnh cả hai hàm, răng cửa 2 hàm đều chìa ra trước, làm mất thẩm mỹ nụ cười Phương án niềng răng mắc cài mặt trong: khách hàng không muốn nhổ răng…
Trường hợp răng chìa, góc nghiêng hô được niềng răng mắc cài pha lê thành công nhổ 4 răng
Hình ảnh trước khi niềng răng tại trung tâm niềng răng chuyên sâu Thạc sĩ Bác sĩ nội trú Việt Anh: răng cửa hàm trên chìa nhiều, góc nghiêng môi nhô ra ngoài Phương án niềng răng mắc cài pha lê: nhổ 4 răng, kéo lủi răng cửa cho thẳng lại Kết quả niềng răng…
