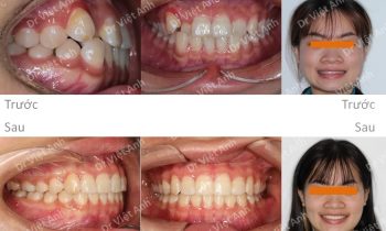
Niềng răng mắc cài kim loại tự đóng nhổ 4 răng số 4 chữa hô hoàn thành sau gần 2 năm
Hình ảnh trước khi niềng răng tại trung tâm niềng răng chuyên sâu Thạc sĩ Bác sĩ nội trú Việt Anh: khách hàng cảm thấy bị hô, góc nghiêng miệng nhô ra, răng hàm trên chìa, hàm dưới lộn xộn Phương án niềng răng mắc cài kim loại tự buộc: nhổ 4 răng số 4,…
