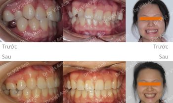
Tình trạng cằm lẹm cải thiện rõ rệt sau khi niềng răng mắc cài kim loại tự buộc nhổ răng điều trị răng vẩu
Hình ảnh trước khi niềng răng tại trung tâm niềng răng chuyên sâu Thạc sĩ Bác sĩ nội trú Việt Anh: khách hàng có tình trạng vẩu khá nặng, môi dày, góc nghiêng cằm lẹm, răng chìa nhiều, hàm dưới lộn xộn, đường giữa 2 hàm lệch nhau, khớp cắn sâu Phương án niềng…
