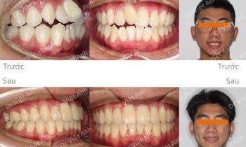
Niềng răng móm, khớp cắn đối đầu bằng mắc cài kim loại tự đóng áp dụng phương pháp di xa toàn hàm dưới
Hình ảnh trước khi niềng răng tại trung tâm niềng răng chuyên sâu Thạc sĩ Bác sĩ nội trú Việt Anh: khách hàng có tình trạng khớp cắn hạng III, móm, cằm đưa ra trước, mặt lưỡi cày, răng hơi lộn xộn, khớp cắn đối đầu, đường giữa 2 hàm lệch nhau. Phương án niềng…
