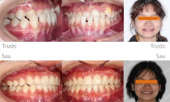
Trường hợp hô, khấp khểnh hàm dưới được khắc phục bằng niềng răng mắc cài kim loại tự đóng, nhổ 3 răng
Hình ảnh trước khi niềng răng tại trung tâm niềng răng chuyên sâu Thạc sĩ Bác sĩ nội trú Việt Anh: răng lộn xộn 2 hàm, răng cửa hàm trên chìa, góc nghiêng vẩu Phương án niềng răng mắc cài kim loại tự đóng: nhổ 2 răng số 4 hàm trên và 1 răng số…
