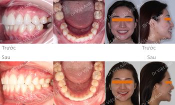
Niềng răng hô nhẹ, di xa hàm trên sau nhổ răng khôn bằng mắc cài pha lê tự buộc
Tình trạng trước khi niềng răng tại trung tâm niềng răng chuyên sâu thạc sĩ bác sĩ nội trú Việt Anh: răng hàm trên chìa ra trước so với hàm dưới, răng hàm dưới hơi lộn xộn, góc nghiêng hơi hô Phương án niềng răng mắc cài pha lê: vì khách hàng chỉ muốn kéo…
