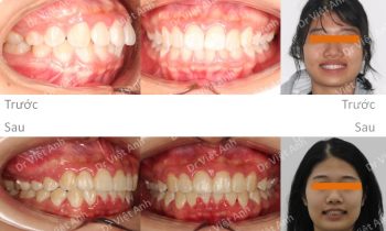
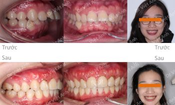
Niềng răng mặt trong điều trị răng lộn xộn, cắn ngược, cung răng vuông
Tình trạng trước khi niềng răng tại trung tâm niềng răng chuyên sâu thạc sĩ bác sĩ nội trú Việt Anh: răng khấp khểnh lộn xộn, 2 răng cửa hàm trên bị cắn ngược bên trong răng hàm dưới, cung răng hàm trên hình vuông Phương án niềng răng mặt trong: sắp đều răng, di…
