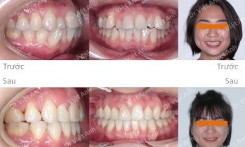
Niềng răng mặt lưỡi kéo khít khe thưa sau khi nhổ răng kẹ
Tình trạng trước khi niềng răng tại trung tâm niềng răng chuyên sâu thạc sĩ bác sĩ nội trú Việt Anh: có răng kẹ (răng thừa) giữa 2 răng cửa hàm trên, gây mất thẩm mỹ. Khách hàng muốn nhổ răng kẹ và kéo khít lại bằng mắc cài mặt lưỡi thẩm mỹ. Phương án…
