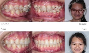
Niềng răng mắc cài kim loại tự đóng khắc phục hô cho bạn nữ 19 tuổi sau gần 2 năm
Tình trạng trước khi niềng răng tại trung tâm niềng răng chuyên sâu thạc sĩ bác sĩ nội trú Việt Anh: góc nghiêng bị hô, môi nhô ra trước nhiều, răng chìa Phương án niềng răng mắc cài kim loại: nhổ 4 răng số 4 để tạo khoảng kéo lui răng cửa giảm vẩu, tăng…
