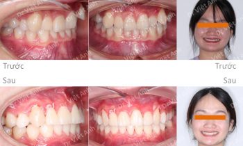
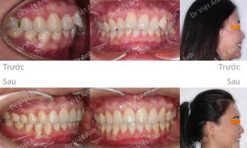
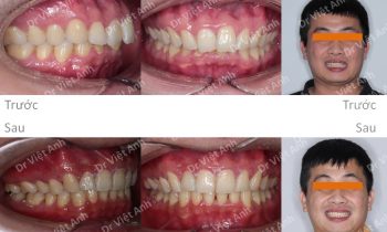
Góc nghiêng đạt chuẩn Hàn Quốc sau khi niềng răng mặt trong
Tình trạng trước khi niềng răng tại trung tâm niềng răng chuyên sâu thạc sĩ bác sĩ nội trú Việt Anh: khách hàng cảm thấy miệng bị hô, cằm hơi lẹm, răng lộn xộn Phương án niềng răng mặt trong: nhổ 4 răng số 4 và cắm 2 vis hàm trên để kéo lùi tối…
