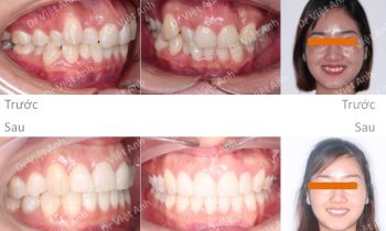
Niềng răng mặt trong điều trị hô, nhổ 4 răng số 4 hoàn thành sau hơn 1 năm
Hình ảnh trước khi niềng răng tại trung tâm niềng răng chuyên sâu Thạc sĩ Bác sĩ nội trú Việt Anh: góc nghiêng hô, môi dày, răng hơi khấp khểnh hàm dưới Phương án niềng răng mắc cài mặt trong: nhổ 4 răng số 4, kéo lùi răng cửa 2 hàm Kết quả niềng răng…
