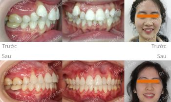
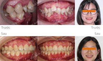
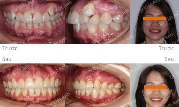
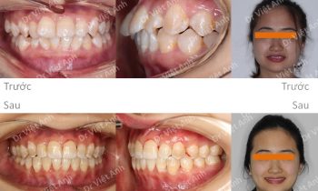
Niềng răng mặt trong điều trị khấp khểnh nặng, nhổ 2 răng ở hàm trên
Hình ảnh trước khi niềng răng tại trung tâm niềng răng chuyên sâu Thạc sĩ Bác sĩ nội trú Việt Anh: răng hàm trên khấp khểnh nặng, khớp cắn hạng II do hàm dưới ngắn Phương án niềng răng mắc cài mặt trong: nhổ 2 răng hàm trên để tạo chỗ sắp đều răng và…
