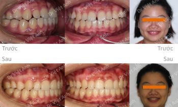
Niềng răng mặt trong khắc phục răng cửa chìa, khớp cắn đối đầu
Hình ảnh trước khi niềng răng tại trung tâm niềng răng chuyên sâu Thạc sĩ Bác sĩ nội trú Việt Anh: khớp cắn đối đầu, đường giữa răng hai hàm lệch nhau, răng cửa hàm trên chìa Phương án niềng răng mắc cài mặt trong: khách hàng đã đi khám ở nha khoa khác và…
