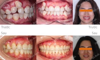
Niềng răng móm, khớp cắn ngược, lệch đường giữa hàm dưới hoàn thành sau 1,5 năm dùng mắc cài pha lê
Hình ảnh trước khi niềng răng tại trung tâm niềng răng chuyên sâu Thạc sĩ Bác sĩ nội trú Việt Anh: khớp cắn ngược do hàm dưới đưa ra trước, đường giữa hàm dưới lệch sang trái, góc nghiêng thấy bị móm Phương án niềng răng mắc cài pha lê: nhổ răng khôn, kéo lùi…
