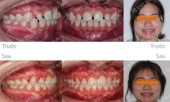
Niềng răng khấp khểnh nặng, cắn ngược, hô dùng mắc cài mặt lưỡi có nhổ răng
Hình ảnh trước khi niềng răng tại trung tâm niềng răng chuyên sâu Thạc sĩ Bác sĩ nội trú Việt Anh: răng khấp khểnh nặng thiếu chỗ nhiều, góc nghiêng hô, răng cửa bị cắn ngược, đường giữa 2 hàm lệch nhau Phương án niềng răng mắc cài mặt trong: nhổ 4 răng số 4…
