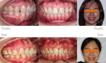
Góc nghiêng thay đổi rất nhiều sau khi niềng răng hô bằng mắc cài kim loại tự khóa
Hình ảnh trước khi niềng răng tại trung tâm niềng răng chuyên sâu Thạc sĩ Bác sĩ nội trú Việt Anh: khách hàng có tình trạng vẩu khá nặng, góc nghiêng môi nhô nhiều, cằm lẹm Phương án niềng răng mắc cài kim loại tự khóa: nhổ 4 răng số 4 để kéo lui răng…
