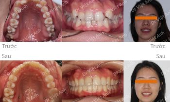
Niềng răng mắc cài kim loại sửa lại ca niềng hỏng nơi khác bị hô ra hơn ban đầu
Hình ảnh trước khi niềng răng tại trung tâm niềng răng chuyên sâu Thạc sĩ Bác sĩ nội trú Việt Anh: đang niềng dở nơi khác, ban đầu răng lộn xộn nhiều vì không nhổ răng nên răng bị hô r Phương án niềng răng mắc cài kim loại: nhổ 4 răng số 4, hàm…
