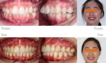
Niềng răng mắc cài mặt lưỡi điều trị răng khấp khểnh bằng phương pháp mài kẽ và kéo lùi toàn hàm, không nhổ răng
Tình trạng trước khi niềng răng tại Trung tâm Niềng răng chuyên sâu Thạc sĩ Bác sĩ nội trú Việt Anh: răng khấp khểnh tương đối nhiều ở cả hai hàm, làm nụ cười mất thẩm mỹ, đường giữa 2 hàm lệch nhau Phương án niềng răng mắc cài mặt lưỡi: khách hàng không thấy…
