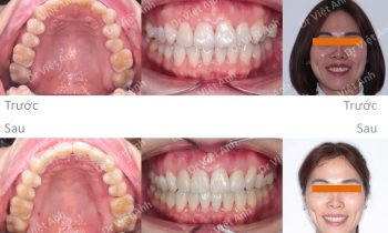
Niềng răng thưa, khớp cắn đối đầu bằng mắc cài kim loại
Tình trạng trước khi niềng răng tại trung tâm niềng răng chuyên sâu thạc sĩ bác sĩ nội trú Việt Anh: răng thưa ở cả hai hàm, khớp cắn đối đầu không có độ cắn phủ của hàm trên Phương án niềng răng mắc cài kim loại: kéo khít các khe răng thưa hai hàm,…
