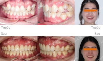
Trường hợp hô, cằm lẹm, mất 2 răng số 6 hàm dưới được khắc phục bằng mắc cài kim loại tự đóng, nhổ 2 răng số 4 hàm trên
Hình ảnh trước khi niềng răng tại trung tâm niềng răng chuyên sâu Thạc sĩ Bác sĩ nội trú Việt Anh: góc nghiêng vẩu, môi nhô nhiều, cằm lẹm, hàm dưới mất răng số 6 Phương án niềng răng mắc cài kim loại: nhổ 2 răng số 4 hàm trên, kéo đóng khoảng mất răng…
