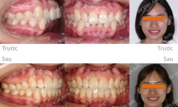
Trường hợp vẩu, răng chìa, khớp cắn sâu, răng lộn xộn được niềng răng thành công bằng mắc cài mặt lưỡi tự đóng
Hình ảnh trước khi niềng răng tại trung tâm niềng răng chuyên sâu Thạc sĩ Bác sĩ nội trú Việt Anh: răng hàm trên chìa, khớp cắn sâu, răng hàm dưới lộn xộn, góc nghiêng thấy môi vẩu Phương án niềng răng mắc cài mặt trong: nhổ 4 răng số 4, hàm trên cắm 2…
