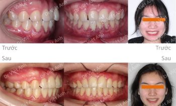
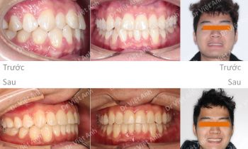
Niềng răng mắc cài mặt lưỡi khắc phục răng lộn xộn, móm, khớp cắn ngược
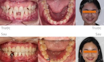
Hình ảnh trước khi niềng răng tại trung tâm niềng răng chuyên sâu Thạc sĩ Bác sĩ nội trú Việt Anh: khớp cắn ngược, răng cửa hàm trên nằm trong hàm dưới, góc nghiêng thấy móm, răng hàm trên lộn xộn Phương án niềng răng mắc cài mặt trong: sắp đều răng hàm trên, cắm…
