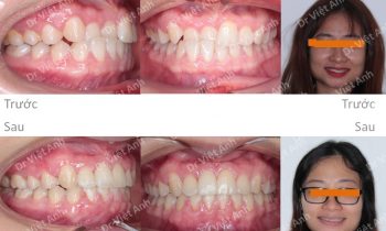
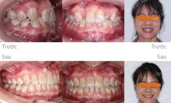
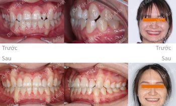
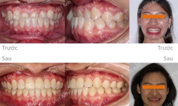
Niềng răng mắc cài kim loại tự buộc điều trị khấp khểnh không nhổ răng 4
Tình trạng trước khi niềng răng tại trung tâm niềng răng chuyên sâu thạc sĩ bác sĩ nội trú Việt Anh: răng khấp khểnh, khớp cắn đối đầu, 2 răng cửa bị cắn ngược, lệch đường giữa hai hàm, nụ cười kém thẩm mỹ vì răng không đều. Phương án niềng răng mắc cài kim…
