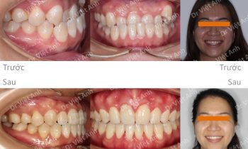
Trường hợp khớp cắn ngược, răng chìa, hỏng 2 răng số 6 được niềng răng mắc cài pha lê thành công
Hình ảnh trước khi niềng răng tại trung tâm niềng răng chuyên sâu Thạc sĩ Bác sĩ nội trú Việt Anh: khớp cắn ngược, góc nghiêng môi nhô, răng hơi chìa, hỏng 2 răng số 6 bên trái, đường giữa 2 hàm lệch nhau Phương án niềng răng mắc cài pha lê: nhổ 2 răng…
