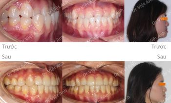
Niềng răng móm, khớp cắn ngược thành công bằng mắc cài kim loại tự đóng
Hình ảnh trước khi niềng răng tại trung tâm niềng răng chuyên sâu Thạc sĩ Bác sĩ nội trú Việt Anh: khách hàng có tình trạng khớp cắn ngược, răng hàm trên lộn xộn, góc nghiêng móm Phương án niềng răng mắc cài kim loại: sắp đều răng hàm trên, kéo lùi toàn hàm dưới…
