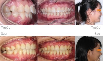
Niềng răng mặt trong khắc phục khớp cắn hạng II, cắn sâu nặng, răng cụp không nhổ răng
Hình ảnh trước khi niềng răng tại trung tâm niềng răng chuyên sâu Thạc sĩ Bác sĩ nội trú Việt Anh: khớp cắn rất sâu, răng cửa hàm trên trùm hẳn lên hàm dưới, tương quan khớp cắn hạng II, răng cửa cụp. Khách hàng đã niềng cách đây nhiều năm, mài kẽ nham nhở….
