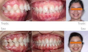
Niềng răng thưa, khớp cắn sâu, hô bằng mắc cài pha lê
Tình trạng trước khi niềng răng tại trung tâm niềng răng chuyên sâu thạc sĩ bác sĩ nội trú Việt Anh: hàm trên có rất nhiều khe thưa giữa các răng cửa làm mất thẩm mỹ khi cười, khớp cắn sâu, răng cửa trên phủ gần hết răng cửa dưới, răng cửa trên chìa ra…
