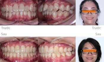
Niềng răng lộn xộn, hô bằng mắc cài pha lê có nhổ răng số 4
Hình ảnh trước khi niềng răng tại trung tâm niềng răng chuyên sâu Thạc sĩ Bác sĩ nội trú Việt Anh: răng khấp khểnh lộn xộn, trục răng cửa chìa, góc nghiêng hơi hô, đường giữa răng hai hàm lệch nhau Phương án niềng răng mắc cài pha lê: nhổ 4 răng số 4 để…
