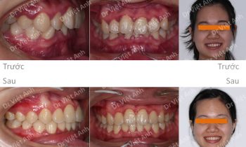
Niềng răng hô cho khách hàng mất răng số 4 sử dụng mắc cài kim loại
Hình ảnh trước khi niềng răng tại trung tâm niềng răng chuyên sâu Thạc sĩ Bác sĩ nội trú Việt Anh: khách hàng có tình trạng răng chìa, góc nghiêng hô, môi nhọn, đã mất 1 răng số 4 Phương án niềng răng mắc cài kim loại: nhổ 3 răng số 4 để kéo đồng…
