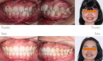
Ca chỉnh nha mắc cài kim loại buộc chun Hàn Quốc nhổ 3 răng số 4 và 1 răng số 6 hỏng chữa hô
Hình ảnh trước khi niềng răng tại trung tâm niềng răng chuyên sâu Thạc sĩ Bác sĩ nội trú Việt Anh: góc nghiêng vẩu, môi dày, răng hơi lộn xộn, răng hàm trên chìa Phương án niềng răng mắc cài kim loại: nhổ 3 răng số 4 và 1 răng 6 sâu to, kéo lùi…
